Un patógeno presente en hasta el 90 % de la población vuelve a preocupar a la comunidad médica tras detectarse un caso mortal sin inmunosupresión severa.
Un virus silencioso en millones de personas
Un nuevo estudio publicado en Annals of Internal Medicine: Clinical Cases ha reavivado la preocupación sobre el virus JC, un patógeno que podría estar presente en entre el 50 % y el 90 % de la población adulta mundial.
Lo inquietante no es su распространación —habitualmente asintomática y silenciosa—, sino su capacidad para reactivarse y atacar el cerebro en determinadas circunstancias.
👉 La mayoría de los portadores nunca desarrollará síntomas, pero cuando lo hace, las consecuencias pueden ser devastadoras.
Cómo pasa desapercibido… hasta que es demasiado tarde
El virus JC suele adquirirse en etapas tempranas de la vida, probablemente por vía fecal-oral, y permanece latente en el organismo sin causar problemas.
Sin embargo, en ciertos casos, puede mutar y desencadenar una enfermedad grave conocida como leucoencefalopatía multifocal progresiva.
Esta patología afecta directamente al sistema nervioso central, provocando:
- Destrucción de la mielina, clave para la transmisión nerviosa
- Alteraciones del habla y la visión
- Debilidad muscular y confusión
- Convulsiones y deterioro cognitivo progresivo
👉 El cerebro pierde su capacidad de comunicación interna.
El caso que rompe el patrón médico tradicional
Durante décadas, la comunidad científica ha asociado la LMP a pacientes con inmunosupresión severa, como:
- Personas con VIH/SIDA
- Pacientes con cáncer
- Tratamientos con fármacos inmunosupresores
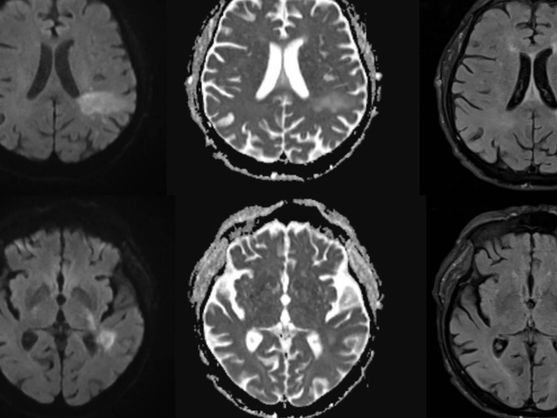
Sin embargo, el nuevo caso documentado en Nueva York introduce un factor preocupante:
👉 un paciente de 72 años sin inmunosupresión extrema desarrolló la enfermedad y falleció en pocos días.
El hombre, que padecía insuficiencia renal crónica avanzada, acudió al hospital con síntomas neurológicos aparentemente comunes:
- Dificultad para hablar
- Confusión
- Debilidad general
Inicialmente, los médicos atribuyeron el cuadro a una encefalopatía derivada del fallo renal. Pero tras la diálisis, su estado empeoró.
Las pruebas confirmaron lo inesperado:
presencia del virus JC en el líquido cefalorraquídeo y lesiones cerebrales compatibles con LMP.
Dos días después, el paciente murió.
Un cambio de paradigma en la vigilancia médica
Este hallazgo obliga a replantear lo que se creía sobre este virus:
- Ya no estaría limitado a casos extremos de inmunosupresión
- Podría activarse en condiciones más amplias de vulnerabilidad
- Exige una mayor vigilancia clínica y diagnóstica
👉 El riesgo, aunque bajo, podría estar más extendido de lo que se pensaba.
Un problema global ignorado
A pesar de su enorme распространación, el virus JC sigue siendo un gran desconocido para la opinión pública.
Esto plantea una cuestión incómoda:
¿Se está subestimando el impacto de virus latentes en la población mientras la atención sanitaria se centra en amenazas más visibles?
En un contexto de envejecimiento poblacional y aumento de enfermedades crónicas, este tipo de patógenos podrían convertirse en un desafío silencioso.
Conclusión: entre la calma y la alerta
Los expertos insisten en que no hay motivo para alarma generalizada, ya que la mayoría de las personas convivirá con el virus sin consecuencias.
Pero el caso reciente deja una advertencia clara:
👉 cuando el virus JC se activa, el margen de actuación puede ser mínimo.
